medical and aesthetic options in Guadalajara
Smile Design & Dental Care
Women’s Health – Gynecology & Obstetrics
Minimally Invasive Aesthetic Treatments

Minimally Invasive Aesthetic Treatments
Enhance your natural beauty with non-surgical, low-downtime therapies designed to refresh, rejuvenate, and support long-term skin health — all available in Guadalajara’s top aesthetic clinics.
Rejuvenation & Skin Health
Botox, fillers, peels, microneedling, CoolSculpting, laser therapy, light-based treatments, and lymphatic drainage — carefully selected to fit your unique needs and comfort.
Here are some services we can arrange for yo
Minimally Invasive Aesthetic Treatments
-
Botox injections
-
Dermal fillers
-
Chemical peels
-
Microdermabrasion
-
Laser skin resurfacing
-
Carboxytherapy
-
Radiofrequency (RF) therapy
-
Ultrasound skin tightening (Ultherapy)
-
Cryolipolysis (CoolSculpting)
-
Microneedling
-
Light therapy
-
Lymphatic drainage massage
-
Laser hair removal
-
Skin tightening treatments

Diagnostics
Understanding your health starts with knowing what’s happening inside. We coordinate advanced diagnostic services with trusted clinics in Guadalajara — helping you gain clarity, prevent complications, and make confident decisions.
General Health & Prevention
Comprehensive lab work and evaluations to check heart, thyroid, hormone, vitamin, liver, kidney, and metabolic function.
Scans & Imaging
Access to high-quality full-body MRI, CT scans, bone density tests, X-rays, and abdominal ultrasounds, all interpreted by top specialists.
Here are some services we can arrange for you…
Diagnostics
|
|

OUR MISSION
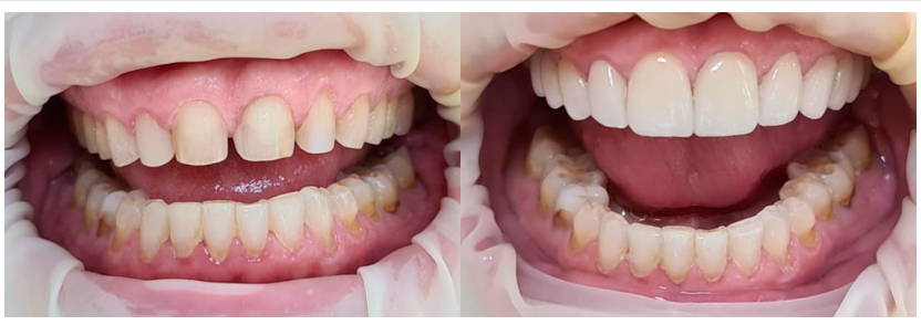
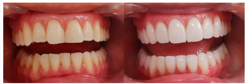
Smile Design & Dental Care
A confident smile changes how you move through the world. Our partner dentists in Guadalajara specialize in high-quality aesthetic and restorative dentistry — delivered with warmth and precision.
Aesthetic & Restorative Treatments
From full smile makeovers to implants, veneers, orthodontics, whitening, and gum contouring — each treatment is designed to feel as natural as it looks.
Here are some services we can arrange for you…
Smile Design & Dental Care
-
Smile design and digital planning
-
Veneers
-
Dental crowns
-
Dental implants with crowns
-
Invisalign and orthodontic treatments
-
Teeth whitening
-
Gum contouring
-
Dental bonding
-
Enamel shaping
-
Dental bridges
-
Bone grafting
-
Tooth extraction
-
Dental fillings
-
Sinus lift

OUR MISSION
Cosmetic Surgery
Your body tells your story — we help you honor and reshape it with the care it deserves. We partner with board-certified plastic surgeons in Guadalajara who prioritize safety, beauty, and integrity.
Popular Procedures
Tummy tucks, liposuction, mommy makeovers, breast procedures, rhinoplasty, facial lifts, body contouring, and hair restoration — each designed around your body’s needs and your vision of self.
List of services
Cosmetic Surgery
-
Tummy tuck
-
Liposuction
-
Brazilian Butt Lift (BBL)
-
Mummy makeover
-
Breast augmentation
-
Breast reduction
-
Rhinoplasty (nose surgery)
-
Facelift
-
Eyelid surgery
-
Neck lift
-
Hair transplants (FUE/FUT)
-
Arm lift
-
Thigh lift
-
Chin augmentation
-
Brow/forehead lift
-
Ear surgery
-
Facial liposculpture

OUR MISSION
Women’s Health – Gynecology & Obstetrics
Women’s health is personal, intimate, and deserves gentleness and expertise. We coordinate gynecological and hormonal care with highly regarded specialists who take the time to listen.
Comprehensive Female Care
From laser gynecology and hormonal support to fertility services, advanced checkups, menopause care, breast health, and infection treatment — everything is done with dignity, respect, and clarity.
Here are some services we can arrange for you
Women’s Health – Gynecology & Obstetrics
-
Laparoscopic gynecological surgery
-
Hysteroscopy (diagnostic and surgical)
-
Menopause and hormonal care
-
Full colposcopy
-
Female genital infection treatment
-
Advanced gynecological checkups
-
Fertility services
-
Breast clinic and diagnostics
-
High-specialty contraception
-
Laser gynecology
-
High-resolution ultrasound
-
Urinary incontinence treatment
Not sure where to start?
We’re here to listen and guide you.



